Le passe muraille : suite (et fin!)
Pour résumer les épisodes précédents :
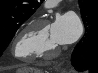
Dans un contexte de récidive d’angor, la ventriculographie retrouve une ectasie infero laterale
– totalement ratée en échographie transthoracique
– mais belle et bien visible en échographie de contraste,
– l’IRM répond « métaplasie lipomateuse sans anévrisme »,
et la question est : y a t-il de la paroi autour, en clair, est-ce une rupture myocardique contenue (faux anévrisme et donc potentiellement chirurgie) ou un « pseudo pseudo anévrisme » avec de la paroi autour.
Le scanner met tout le monde d’accord, il s’agit d’un pseudo pseudo-anévrisme avec de la paroi, qui est le siège d’une transformation lipomateuse, visible en noir sur le scanner (graisse). Il n’y a donc pas d’indication chirurgicale.
(Finalement, le passe muraille, comme dans la nouvelle de Marcel Aymé, est resté coincé dans la muraille).
