Abcès de l’anneau sur Bioprothèse à armature
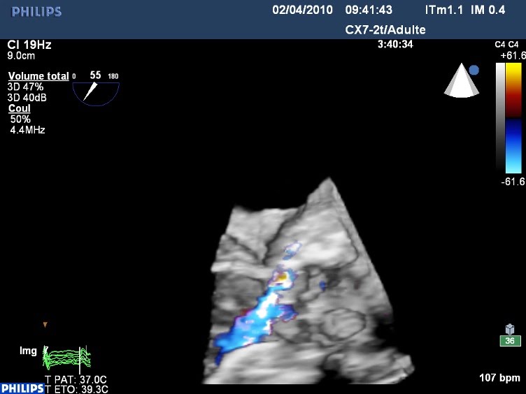
Patient adressé pour suspicion d’endocardite, hémocultures postives à staph et BAV1 d’apparition récente. Abcès postérieur de l’anneau (totalement raté à l’ETT…), avec logette expansive et IA para-prothétique au sein de l’abcès. Sur l’image 3d, on visualise la logette expansive à la jonction aorto-mitrale. Les coupes en 9 écrans sont obtenues à partie de l’acquisition en ETO 3D, avec la fonction « i-slice », qui permet de découper un volume en « tranches » avec l’orientation que l’on souhaite. C’est, à mon sens, un des intérêts majeur du 3D. Ici, la première coupe en haut à gauche est dans l’aorte, la dernière dans la chambre de chasse du VG. On peut suivre l’abcès perforé de l’une à l’autre. La photo du bloc confirme les données échographiques.
Pour lire les vidéos : click droit sur « loop is off » et full screen.
Untitled from fish Nip on Vimeo.
Untitled from fish Nip on Vimeo.
