Une insuffisance mitrale, deux oreillettes, trois possibiltés!
Le Dr Antakly, qui me fait l’honneur de m’accorder la moitié de son bureau et son amitié, me propose ces superbes images pour echocardioblog, le seul blog d’échographie cardiaque où le « cas clinique du mois » ne date pas de 12/2007!
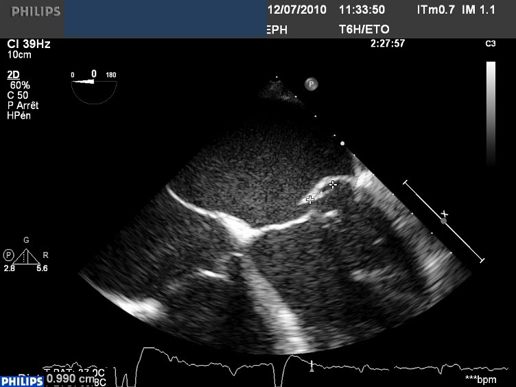
Il s’agit d’une IM massive sur prolapsus de P2 avec rupture de cordage. Jusque là, tout va bien.
Le jet est très directionnel, plaqué vers le SIA grâce à « l’effet coanda » le magnifique (à ne pas confondre avec Conan le barbare, qui n’a que très peu d’effet sur les jets d’IM). Jusque là, tout va bien.
Untitled from fish Nip echocardiographie on Vimeo.
Mais, en y regardant de plus près, le flux d’IM se jette sans vergogne dans une toute petite CIA, en position d’ostium secundum, avec une vitesse du jet de CIA de plus de 4 m/sec!
ETO Inuffisance mitrale-CIA from fish Nip echocardiographie on Vimeo.
En montrant ces images à notre Master Jedi Jacques Serfaty, le maitre a dit : « je n’avais jamais vu ça ». Pour vous illustrer l’effet produit par ces paroles, je vous ai choisi un extrait d’un petit film d’auteur, ou le padawan cherche (et trouve) son maitre… Enjoy!


found someone i would say …