Oedème pulmonaire unilatérale, ou pneumopathie sans fièvre?
Une fois n’est pas coutume, voici un peu de radiologie dans ce blog. Cette patiente, âgée, est suivie de longue date pour une maladie de Barlow. Dyspnée aiguë, image alvéolaire unilatérale droite à la radio de thorax, BNP dans la « zone grise » vers 450, une CRP à 50 : allez hop! Direction lits portes, avec des antibiotiques et un bon grog!
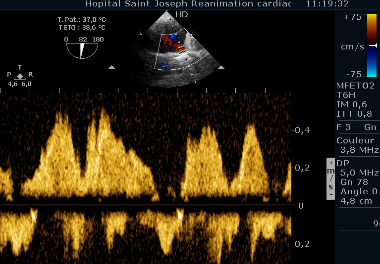
Mais chacun sait qu’on écoute, aux portes (ouah, la blague du siècle! heureusement que vous êtes tous en vacances…), et Madame à un souffle à l’auscultation. Un PDS. (Putain De Souffle). Alors, on redécouvre l’insuffisance mitrale sur prolapsus complexe, avec un jet par prolapsus commissural antérieur, et un prolapsus du feuillet antérieur. En ETO, le reflux systolique est franc dans la veine pulmonaire inférieure droite.
Mais le flux dans les autres veines pulmonaires est normal.
L’œdème pulmonaire unilatérale est majoritairement décrit à droite, sur des insuffisances mitrales directionnelles, dégénératives ou post-rhumatismales.
L’autre grande cause d’OAP unilatérale est l’œdème « a vacuo », après ponction d’un épanchement compressif ou drainage d’un pneumothorax.
S. Mihaelanu m’a dit un jour que pour comprendre les déterminants de la tolérance clinique de l’insuffisance mitrale, il fallait imaginer que l’oreillette gauche prenait une baffe. Ce qui fait mal dans la baffe, ce n’est pas la taille de la main (comprendre le volume de la fuite), mais la vitesse avec laquelle elle arrive (donc son énergie cinétique)!
Ben, l’oreillette gauche, quand elle prend une baffe, elle ne tend pas toujours l’autre joue!




J'aime la manière dont tu illustres ton propos.