Fosse ovale : Cloison maudite?
Le septum inter auriculaire est une cloison assez mystérieuse. Le Foramen ovale perméable, avec ses modifications dynamiques pendant les tests d’hyperpression intra thoracique, est pourtant très banal, mais difficile à imaginer dans l’espace.
Manifestement (et heureusement…), je ne suis pas le seul à le penser puisque parait le 27/09 dans le JACC imaging cet article superbement illustré dont je vous recommande vivement la lecture :
« Anatomy of right atrial structures by real-time 3D transesophageal echocardiography ». Faletra FF, Ho SY, Aurichio A.
JACC Cardiovasc Imaging. 2010 Sep;3(9):966-75.
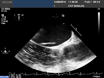
Ici l’association d’une petite Communication Inter Auriculaire de type ostium secundum
Et d’un FOP avec une épreuve de contraste faiblement positive :
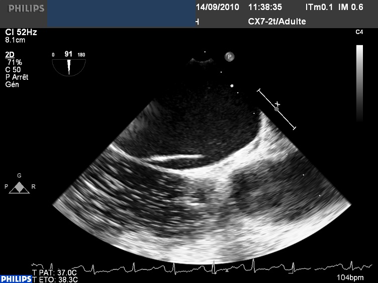
Sur cette image, une fosse ovale sans FOP, mais avec de multiples petites CIA :
Et sur cette image 3D la même fosse ovale devant, en haut et au gauche par une vue intra Oreillette Gauche, avec l’oreillette droite derrière et la veine cave supérieure en haut, en arrière et à droite. Derrière la fosse ovale, un petit trou correspondant à la petite CIA.
L’accolement des parties du SIA n’est pas fixe, comme ne témoigne cette vue « en face »du FOP, avec une fente laissant libre passage de l’OD (en dessous) vers l’OG (au dessus).
La fermeture de CIA percutanée s’est rapidement imposée comme l’une des premières indications de l’ETO 3D temps réel. Cependant, la multiplication des procédures endovasculaires comme la stimulation multisite, nécessitant l’accès au sinus coronaire, ou l’ablation de flutter peuvent être des indications intéressantes (les auteurs de l’article citent la valve de thébésisus qui peut obstruer partiellement l’abouchement du sinus coronaire, comme l’analyse anatomique de l’isthme cavo-tricuspidien).
L’analyse 3d des veines pulmonaires, potentiellement intéressante pour l’ablation de la fibrillation auriculaire, reste un problème, du fait de la grande proximités des veines et du capteur. L’ETO en mode Xplan est un mode issu du 3d qui permet, à partir d’un plan 2d fixe à 0° par exemple, d’explorer sur un écran adjacent une autre incidence, dont on fait varier l’angle avec la track ball. Ce mode me parait plus intéressant pour le repérage des 4 veines pulmonaires. Une fois une veine repérée, à droite et surtout à gauche où elles sont plus difficiles à différencier, le balayage par le plan « réglable » permet une visualisation très aisée de la deuxième veine.
Quelqu’un à un truc pour faire du 3d sur les veines pulmonaires?




