Ma future installation…
Ma future installation sera sous les bananiers, au soleil.
La guérison par « IMPOSITION des MAINS » est une variante de celle qui utilise l’apposition des mains. Ici, pas le choix, vous devez guérir, c’est un ordre.
Moi, ca me plait.
C’est vrai, quoi, l’échographie, la cardiologie, c’est quand même assez difficile…
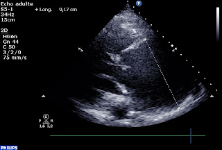
Par exemple, ce monsieur, qui n’a pas de chance, pas d’antécédent, pas de sécu et pas de famille : il a de la fièvre, un faux panaris, des hémocultures positives à staphylocoque, une insuffisance aortique significative récente et l’écho retrouve :
une dissection aortique! Enfin plutôt un anévrisme disséquant de l’aorte ascendante.
Anévrisme de 9cm…
IA moyenne avec PISA à 8 mm pour Vr à 0,3, soit une surface d’orifice régurgitant à 30 mm2
Pas de problème, je suis plutôt du genre obstiné, je vais te la trouver moi l’endocardite…
Sur cette coupe parasternale grand axe, la cusp anter-droite parait louche non?
anévrisme dissequant aorte ascendante from fish Nip echocardiographie on Vimeo.
Quel mécanisme(s) évoqueriez-vous pour expliquer cette fuite aortique?


Je ne comprends pas vraiment les détails; dans l'ensemble ce mec il a carrément pas de bol.
Il se présente comme une maladie grave (l'endocardite) mais il en a une encore plus grave (la dissection aortique). Alors, oui, en quelque sorte, on peut dire qu'il n'a pas de bol… Mais gageons que 2011 sera une bonne année pour lui!