SAMépate…
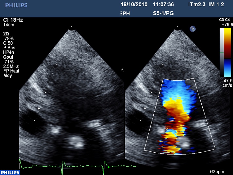
C’est une échographie réalisée en post-opératoire de bioprothèse aortique pour rétrécissement aortique serré. Le patient est en œdème pulmonaire, il y a un aliasing important sur la voie d’éjection aortique et les premières mesures Doppler (gradient moyen à 30 mmHg) sont un peu alarmantes…
Pourtant il ne s’agit ni d’une thrombose de bioprothèse (au demeurant très rare en position aortique), ni d’une disproportion patient prothèse, mais d’un SAM (systolic anterior motion) de la grande valve mitrale, qui se replie dans la chambre de chasse du VG, ce qui engendre un obstacle sous aortique (Cf photo Doppler couleur) et une insuffisance mitrale :
Untitled from fish Nip echocardiographie on Vimeo.
En Doppler continue, on peut obtenir le flux d’IM et celui d’obstacle intra ventriculaire gauche sur la même image :
Le SAM est (était?) une cause classique d’échec de plastie mitrale, particulièrement quand il existe un excès de tissus majeur, un petit ventricule gauche et un angle mitro-aortique étroit.
Mais l’obstacle dynamique qui apparait après la levée de l’obstacle fixe, ça m’épate.




