Petit coup de pression
C’est un vielle calcification mitrale sténosante, avec une hypertension pulmonaire chronique (Ventricule Droit hypertrophié et dilaté). Un énorme anévrisme du septum inter auriculaire se retrouve à devoir choisir son camp, et choisi de bomber dans l’oreillette droite, probablement parce que la pression y est malgré tout plus basse.
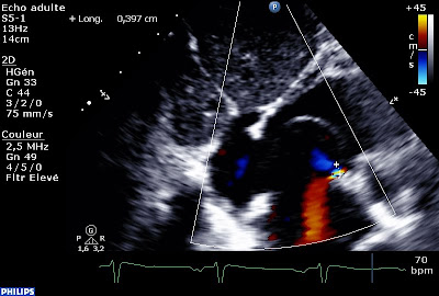
En coupe apicale des 4 cavités :
Untitled from fish Nip echocardiographie on Vimeo.
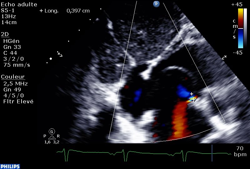
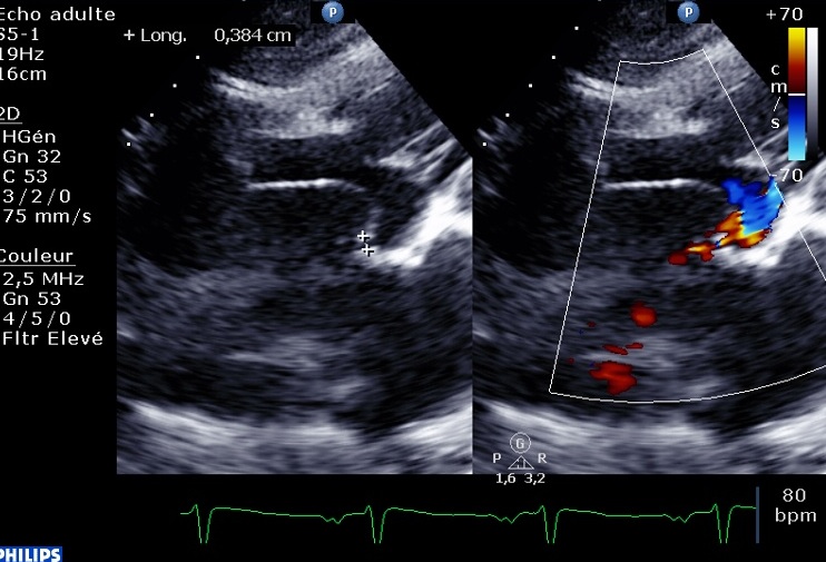
En sous costal, on devine déjà un foramen ovale perméable, mais il n’y a pas de flux décelé à l’état basal :
En inspiration profonde, la donne change, la Pression dans l’oreillette droite devient supérieure à celle de l’oreillette gauche, et la grenouille plus grosse que le boeuf. C’est à ce moment précis que le foramen ovale s’ouvre, et la fuite tricuspide s’engouffre dans l’oreillette gauche!
Une fuite tricuspide dans l’oreillette gauche, une fuite mitrale dans l’oreillette droite, c’est à n’y plus rien comprendre!


