IM commissurale postérieure
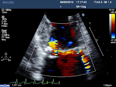
70 ans, OAP, Gros souffle d’IM, mais une ETT peu informative. On devine un jet très excentré, avec une PISA, naissant d’une zone commissurale postérieure très calcifiée avec un cône d’ombre postérieur (la partie postérieure de l’anneau est massivement calcifiée). En ETO 3d, on confirme la présence d’un prolapsus de la commissure postérieure (a droite de l’image), qui est figée dans la calcification. La fonction i-sclice permet de découper le volume 3d acquis selon de coupes parallèles dont ont peu régler l’épaisseur et l’orientation sur les trois plans de l’espace. Quand on s’oriente parallèle à l’anneau mitral, on retrouve bien le prolapsus commissural (en haut sur l’image) avant le plan de l’anneau, figée dan l’OG. On aurait peut-être compris le mécanisme de cette fuite sans le 3d, mais ces fonctions permettent de passer du gros doute à une affirmation. Inutile d’insister sur l’outil de communication, les « non initiés » comprennent enfin de quoi on parle!
Pour lire les vidéos, clic droit sur « loop is off »
Untitled from fish Nip on Vimeo.
