Echographie de contraste et réhaussement tardif.
En faisant des échographies de contraste, on visualise parfois, au sein d’une zone infarcie, une prise de contraste plus intense que dans la cavité elle-même, au temps un peu tardif de l’injection. Ce patient polyvasculaire aux ATCD de nécrose inférieure est adressé en écho de stress avant chirurgie de revascularisation périphérique.
Dès le début de l’examen, on note une prise de contraste dans la couche sous épicardique de la paroi inférieure (1ère vidéo). Par analogie avec le réhaussement tardif en IRM, on peut se dire que cette zone sera viable, puisque le réhaussement n’est pas transmural. Sous Dobutamine (2ième vidéo), la prise de contraste devient plus nette, la contractilité de la paroi inférieure, sans se normalisée, s’améliore effectivement (notez que, vue la qualité des vidéos sur internet, vous n’êtes pas obligés de me croire… n’oubliez pas le « loop is off » avec le clic droit.
Troublant, non?
Untitled from fish Nip on Vimeo.
Untitled from fish Nip on Vimeo.
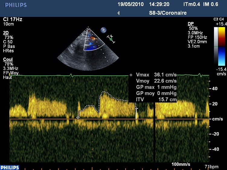
L’examen, par ailleurs négatif, est complété par une mesure de réserve coronaire, l’ITV du flux dans l’IVA distale est multiplié par deux sous Dobutamine, ce qui est une réponse normale.
Pour ceux que la mesure de la reserve coronaire intéresse, une référence dans le JASE 2005 : « Evaluation of Left Anterior Descending Coronary Artery Stenosis of Intermediate Severity Using Transthoracic Coronary Flow Reserve and Dobutamine Stress Echocardiography »
Patrick Meimoun, MD, Tahar Benali, MD, Smain Sayah, MD, Anne Luycx-Bore, MD,
Jacques Boulanger, MD, Hamdane Zemir, MD, and Christophe Tribouilloy, MD, PhD.
Au repos :

