L’IM magique de Garcimore
Cette patiente a consulté tardivement pour un IDM infero-latero basal, avec une IM ischémique importante et une FEVG à 45%. Il s’agissait d’une occlusion de Cx qui a été recanalisée. Quelques jours après sa sortie, elle présente un OAP massif, et cette écho est réalisée le lendemain, alors qu’elle va déjà beaucoup mieux.
On est d’emblée frappé par le caractère variable du volume de l’IM, avec un PISA qui disparait et réapparait avec la respiration :
Untitled from fish Nip on Vimeo.
En doppler; même topo, sauf que l’IM augmente à l’expiration et diminue en inspiration, là où l’on pourrait s’attendre à l’inverse : l’inspiration est censée augmenter la pré charge du VG, et donc majorer une fuite « volo-dépendante » ?!?
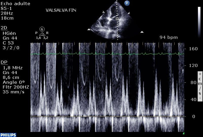
Incrédule, je tente une manœuvre de valsalva qui se divise en 4 étapes:
1- majoration brève de la précharge en vidant les veines pulmonaires sur l’hyperpression thoracique,
2- Augmentation de la pression intra-thoracique et donc diminution de la précharge,
3- Le relâchement engendre une expension brutale de l’aorte et de l’AP qui engendre une chute du débit cardiaque et du remplissage pendant 20 secondes,
4- Retour veineux augmenté et débit cardiaque augmenté pendant 20 secndes; avant un retour à l’état de base.
Etape 2 : L’IM augmente bien (noter la densité du flux Doppler continu) alors que le retour veineux est diminué!
Etape 4 : lorsque le retour veineux augmente (le flux mitral inversé de l’étape 3 redevient restrictif à la droite de l’écran) , l’IM disparait à nouveau…
Des idées?


