Réponse en images
Le suspens n’a que trop duré. Devant l’impatience générale, je me dois de vous donner une réponse.
L’ETO retrouve sur la face postérieure de l’aorte un petit flux émergant d’un ostium de 3 mm.
Untitled from fish Nip on Vimeo.
Le flux est en fait un flux d’artériole à basse vitesse et avec une composante diastolique, et non un flux continu de shunt arterio-veineux comme le suggérait l’ETT. Il ne s’agit donc clairement pas d’un canal artériel persistant, les vélocités sont trop faibles, la localisation n’est pas la bonne, et le flux ressemble à une branche périphérique de l’aorte.
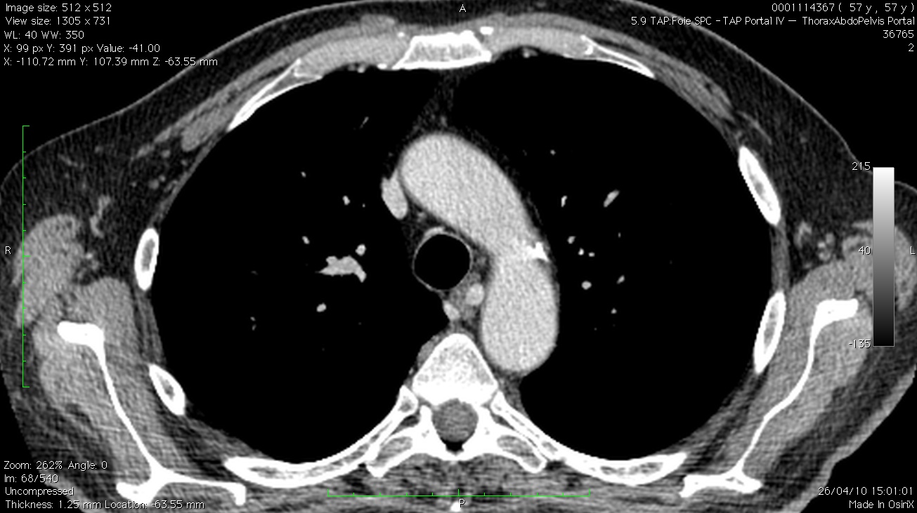
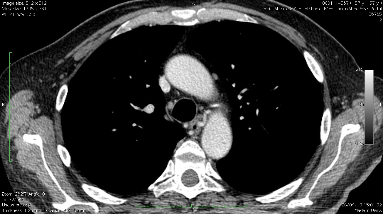
En regardant le scanner avec le radiologue, il s’agit en fait une artère bronchique ectasique naissant de la face postérieure de la crosse. Cette dilatation est elle en rapport avec l’EP massive survenue quelques mois plus tôt??? (La collatéralité par des artères bronchiques sur des EP importantes a déjà été décrite)



Aaaah je le savais ! Je l'avais sur le bout de la langue ! Par ailleurs j'aime beaucoup le design de ton blog. Bisous.