Champagne!
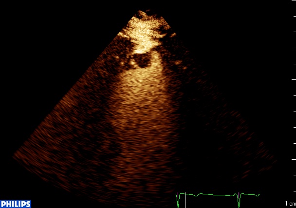
anevrisme apical calcifié from fish Nip echocardiographie on Vimeo.
Cocher, lugubre et bossu, déposez-moi au manoir. Et lâchez ce crucifix! Décrochez-moi ces gousses d’ail, Qui déshonorent mon portail, Et me chercher sans retard, l’ami qui soigne et guérit, la folie qui m’accompagne, Et jamais ne m’a trahi :
Champagne…
Alors on fait péter le champagne. Vous l’avez compris, j’adore le contraste, c’est un peu luxe, mais c’est tellement bon… J’hésite (deux secondes), et puis hop, allez, on a qu’une vie, on ouvre le kit.
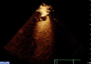
thrombus apical, echographie de contraste from fish Nip echocardiographie on Vimeo.
Et voilà le thrombus! Fini la « maison magique » (que ceux qui ont des enfants en maternelle expliquent aux autres)! Petit, rond, (comme moi), sessile, il apparait en noir, moulé par le contraste, en pleine zone akinétique.
Chat!




mais c'est trop beau mon filou !!
Soyez le bienvenue!