Constriction ou Restriction?
La fille du Monsieur hésite entre dire à l’équipe médicale que son papa boit trop, et lui amener de la bière en cachette. Du coup, elle fait les deux, tous les jours.
Lui entre en cardiologie pour un flutter auriculaire paucisymptomatique. Antécédents de BPCO post tabagique, pas de « passé cardiologique ». Après CEE, retour en rythme sinusal mais survenue d’une hypotension avec désaturation prolongée. Radio thorax d’OAP, insuffisance rénale sévère et cytolyse majeure sur le premier bilan. Voici l’echographie cardiaque faite au lit en USIC à son retour:
-Épanchement perciardique circonférentiel, non compressif, de 10-12 mm au maximum, par ailleurs déjà noté sur une échographie réalisée 6 mois auparavant pour exploration d’une cytolyse.
-Arguments pour des pressions de remplissage gauches élevées avec onde E véloce, un E/Ea >15, aspect restrictif (mais composante atriale faible post CEE) et grande onde D dans le flux de la veine pulmonaire supérieure droite.
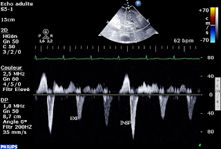
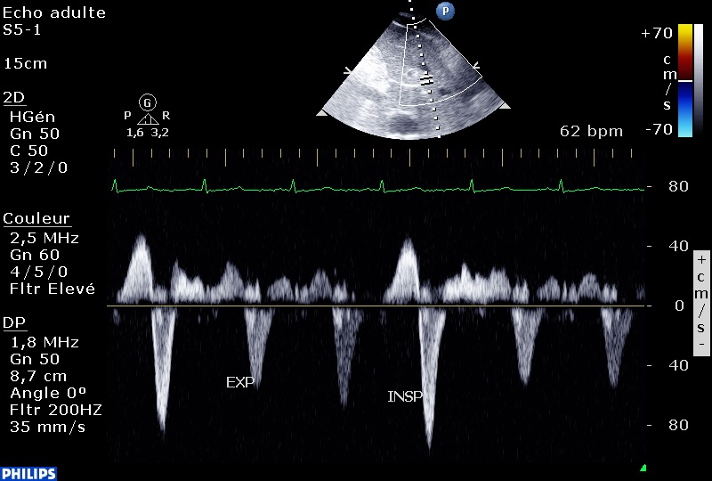
-Insuffisance tricuspide à « vélocité variable », véloce en expiration, avec un gradient VD-OD élevé traduisant une hypertension artérielle pulmonaire : en inspiration, l’IT devient massive, la vélocité devient faible,
et le reflux systolique dans les veines sus-hépatiques devient très net. Par ailleurs, la fonction systolique du VD est très abaissée.
-En TM en sous costal, à droite et à gauche de l’écran, on peut voir la courbure septale s’inverser avec un VD qui refoule le septum inter ventriculaire vers les cavités gauches.
S’agit-il d’une constriction pericardique avec une HTAP précapillaire pré-existante, d’une cardiopathie restrictive avec une HTAP post capillaire, ou des deux???
Remplissage? Dobu? Lasilix? (en plus de la kro…)







Du fait de la grande variabilité respiratoire de la vélocité de l'IT et de l'inversion de la courbure septale, je dirais plutôt Péricardite constrictive.