Sens unique?
Modifier le sens de circulation des rues est un des exercices préféré de la voirie de Paris. Cela permet de verbaliser les cyclistes rêveurs, de vendre des nouveaux plans quand on en a déjà 15 dans la bagnole, et de nourrir les débats des associations de quartier.
Le monsieur a bénéficié d’une chirurgie de Bentall avec prothèse mécanique aortique, les coronaires étaient saines en pré-opératoire.
Dans les suites d’une chirurgie de prostate : hématurie, déglobulisation puis remplissage vasculaire et enfin œdème pulmonaire massif avec élévation de troponine (ça c’est pour Marion).
L’échographie trans thoracique (difficile) retrouve un doute sur une akinésie antérieure, un bon fonctionnement de la prothèse aortique. (pour les vidéos : click droit et « loop is off »)
2 cavites, akinésie antérieure from fish Nip echocardiographie on Vimeo.
Après contraste, l’Akinésie antero-apicale est manifeste, et ressemble plus à une séquelle de nécrose qu’à une myocardite de stress (diagnostic différentiel dans le contexte post-opératoire).
2 cavités, echographie de contraste, akinésie antérieure from fish Nip echocardiographie on Vimeo.
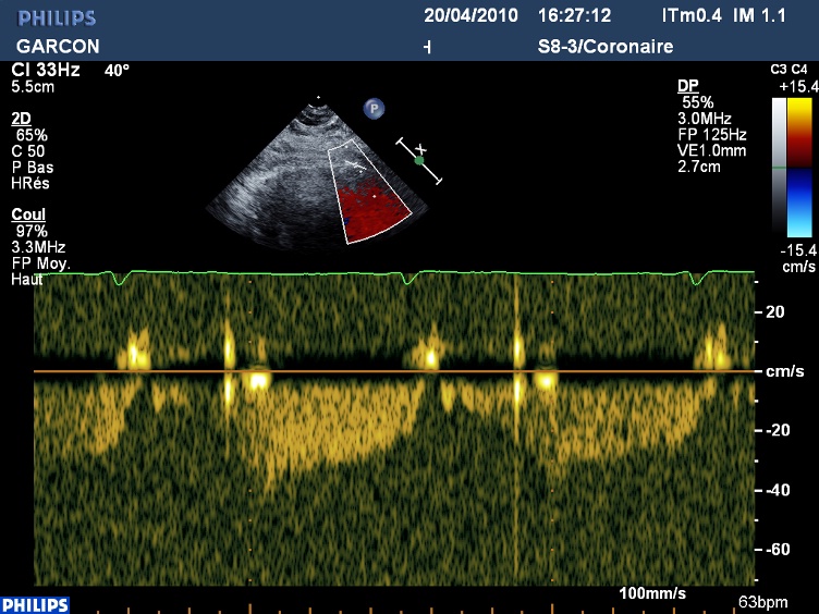
En Doppler couleur : l’IVA distale parait circuler à l’envers!(le flux est bleu, fuyant le capteur en diastole)
Et le flux en Doppler pulsé est négatif.
L’IVA circule bien à l’envers, l’occlusion chronique de l’IVA moyenne avec reprise par collateralité droite gauche sera confirmée plus tard par la coronarographie.
Insensé, non?


Très belle pente diastolique, même à l’envers, hélas trop rarement aperçue. On obtient, chez les pontées, des résultats similaires en effectuant le Doppler de la mammaire pontée.
Quel est ton pourcentage de réussite sur l’IVA ou la CX ?. Quels sont tes réglages et tes astuces pour mieux l’isoler?.
Je ne participe guère à ton blog, il est toujours difficile d’apprécier des images que l’on a pas réalisé soit même.
Mais je trouve tes présentations et ta manière de les mettre en valeur plus que parfaite.
MERMET Pascal Marseille
Merci Pascal pour ce commentaire! L’IVA est facile à localiser, je dirais qu’en prenant le temps, la faisabilité est de l’ordre de 80 %, probablement plus en utilisant du contraste. La Cx est plus difficile à localiser, on n’enregistre en fait que des branches Marginales, sans vraiment savoir laquelle. Les « astuces » pour l’IVA sont simples :
il existe deux coupes : l’une en parasternale petit axe modifiée, en baissant d’un espace intercostal, l’autre en 2 cavités, en remontant d’un espace dans l’endapex (l’idée est de visualiser le sillon inter ventriculaire). Au final, on arrive souvent au même endroit!
Le doppler couleur : l’échelle des vitesses doit être diminuer entre 15 et 20 cm/sec. Il faut parfois ajouter un peu de persistance/lissage pour deviner mieux le trajet, et il faut adapter les réglages pour obtenir la puissance d’émission la plus élevée. Pour le signal doppler pulsé, il faut diminuer les filtres (basses vélocités) et la taille de l’échantillon de l’ordre de 1,5 à 2 mm.
Avec tout ça, ça doit marcher!
Je ferais peut-être une petit note explicative si besoin?
A bientôt,
Philippe.
Merci pour tes explications, elles sont parfaites. Je vais essayer.
J’ai quelques boucles intéressantes, comme une tumeur villeuse du VD et quelques non compactions partielles etc….
Je travaille actuellement sur les déformations longitudinales et transverses lors de l’écho de stress aux différents stades, en particulier avec un index mécanique bas, lors de l’utilisation de SONOVUE.
Si cela peut t’intéresser.
Merci encore et à bientôt
Pascal