Insuffisance mitrale triple action
Il s’agit d’un patient sans antécédent cardiologique connus, hospitalisé pour une œdème pulmonaire. On note un souffle d’insuffisance mitrale important, et sur l’ECG, un aspect QS en D1 et Avl, évoquant une séquelle de nécrose latérale haute. L’échographie trans-thoracique confirme l’importance de la fuite mitrale, mais le mécanisme est difficile à préciser, et pour cause, il y en à trois!
La classification du Pr Carpentier décrit trois mécanismes d’insuffisance mitrale, chacun nécessitant une correction adaptée.
Le type 1 : mobilité normale des feuillets, et donc dilatation de l’anneau, ou perforation d’un feuillet.
Le type 2 : Prolapsus d’un feuillet
Le type 3 : restriction d’un feuillet
Première étape :
Le ventricule gauche, en échographie bidimensionnelle traditionnelle, la séquelle de nécrose ne parait pas évidente :
VG 4 cavités from fish Nip echocardiographie on Vimeo.
Après injection de contraste, il existe incontestablement une séquelle des 2/3 basaux de la paroi latérale. Le pilier latéral est en bordure de la zone nécrosé, ce qui est responsable d’une restriction du feuillet postérieur. Le VG est par ailleurs globuleux et il existe également un certain degré de restriction avec un signe de la mouette sur le feuillet antérieur. Il s’agit donc d’un type 3.
VG 4 cavités contraste from fish Nip echocardiographie on Vimeo.
Mais il ya aussi un prolapsus de A2 (donc un type 2) :
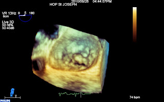
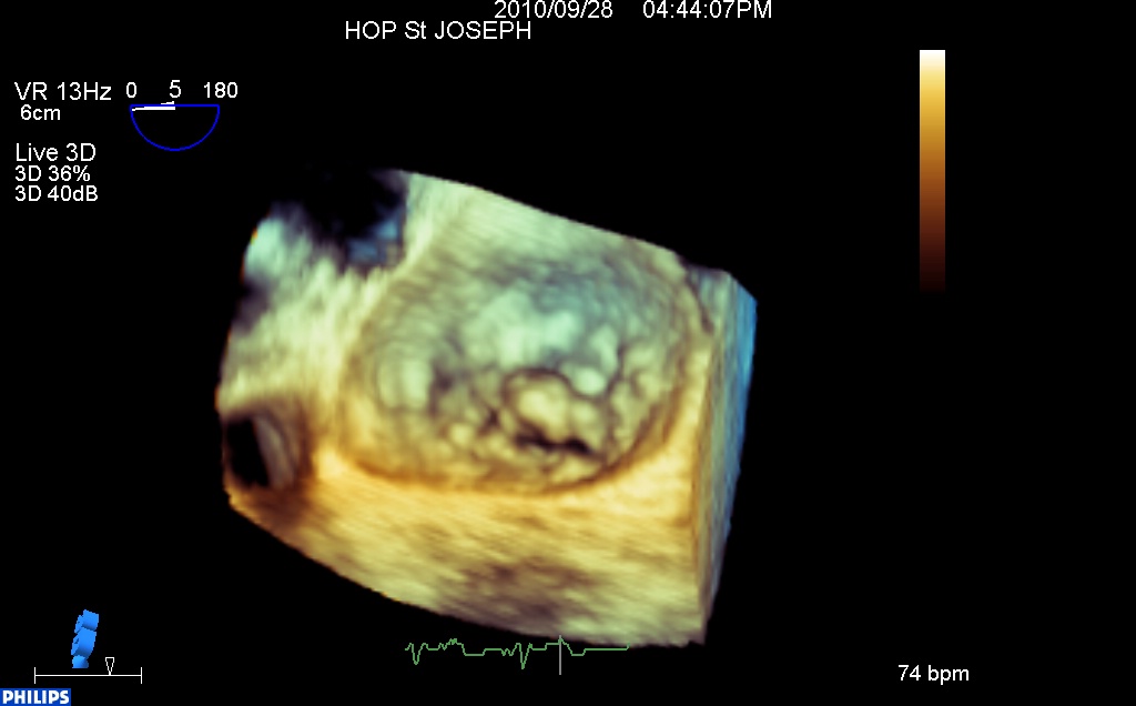
Vue 3D dite « chirurgicale », aorte en haut, auricule au gauche de l’écran, grande valve en haut avec un prolapsus médian et petite valve en bas :
Mitrale 3D from fish Nip echocardiographie on Vimeo.
Enfin, on note une dilatation et surtout une déformation importante de l’anneau (donc plutôt un type 1), qui est quasiment rond. Sur cette reconstruction tridimensionnelle de l’anneau en télésystole, les zones de restrictions paraissent en bleues, la zone prolabant (A2) est jaune. l’aorte est en haut, AL est la commissure antero-latérale.
En conclusion, si le mécanisme de cette volumineuse fuite n’est pas évident en ETT, c’est qu’il fait intervenir 3 notions difficiles à appréhender en 2D:
– la petite valve discrètement restrictive,
– le prolapsus dégénératif de A2, minoré par la traction exercée par le VG globuleux
– et la déformation de l’anneau.
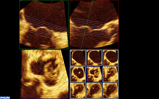
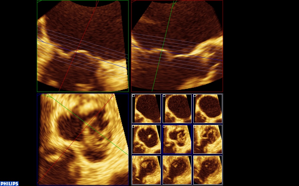
Sur cette reconstruction 3D, on peut voir, dans le cadre en bas à droite, le petit carré bleu qui correspond au plan de l’anneau. Seul le A2 est au plan de l’anneau, le reste des feuillets sont en dessous, confirmant la restriction.



Je suis impressionné par la puissance des outils d'observation dont on dispose aujourd'hui…
Aussi puissants soient-ils, ils ne permettent pas de voir de nouveaux dessins sur ton blog!