Sous l’aorte, l’AP
A la fin des échographies trans-thoraciques, comme Maitre Yoda-Serfaty, j’aime bien jeter un petit coup d’œil sur la crosse de l’aorte en sus-sternal, pour le plaisir, pour ne rien regretter.
Sur cette coupe, on voit de haut en bas, la crosse de l’aorte au niveau de l’isthme et de l’artère sous clavière gauche, et en dessous, l’artère pulmonaire droite qui « plonge » en bas et à droite de l’écran.
Chez ce patient hospitalisé pour détresse respiratoire, l’échographie trans-thoracique au lit retrouve des caractéristiques de cœur pulmonaire (sub?) aigu avec:
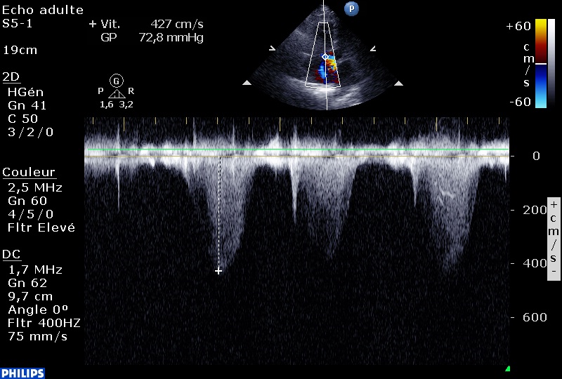
Une Hypertension artérielle très sévère à 85 mmhg, calculée sur l’insuffisance tricuspide :
Des cavités droites modérément dilatées mais une fonction ventriculaire droite conservée (pour développer une insuffisance tricuspide aussi véloce, la fonction VD est nécessairement conservée). La veine cave inférieure est fine, le VD n’est pas hypertrophié, l’artère pulmonaire est peu dilatée.
En supra sternale, sous la crosse de l’aorte, on aperçoit un thrombus mobile dans l’artère pulmonaire doite :
Untitled from fish Nip echocardiographie on Vimeo.
Zoom sur le cadre précédent :
Untitled from fish Nip echocardiographie on Vimeo.
Il faut dire que, si l’on voit le petit bout du thrombus, c’est parce qu’il est ÉNORME!
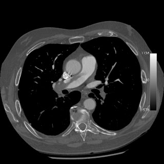
En coupe native :
Et après reconstruction pour expliquer la coupe échographique suprasternale (merci OsiriX) :
Grace à OsiriX et à Aurélie (respectivement déesse et fée du DICOM), voici un petit film de l’angisocanner, mais en coupe sagittales, on entre par l’épaule droite (le générique est un peu long et n’est pas sans évoquer celui de « Star Wars »), le voyage se poursuit par l’énorme thrombus droit, puis la crosse aortique :
Untitled from fish Nip echocardiographie on Vimeo.
La visualisation de thrombus en échographie, dans le cadre des embolies pulmonaires massives, est généralement décrite sous forme de thrombus intra-cavitaires droit (OD, VD, ou thrombus en transit dans un Foramen Ovale perméable). Ces observations représentes, dans les séries de la littérature, entre 4% pour les embolies pulmonaire « tout venant » (registre ICOPER) et 18% si l’on s’intéresse plus particulièrement aux EP massives. Les cas cliniques rapportés de thrombi dans l’artère pulmonaire concernent en général la bifurcation (thrombus à cheval sur la bifurcation) et plus rarement les branches, généralement alors en ETO. Les observations sont éparses et, contrairement aux thrombus intra-cardiaques, il n’y pas de pronostic ou de prise ne charge spécifique pour ce genre de rencontre.




Tres honoree d'etre consideree comme la fee du DICOM (j'amortis mes heure passees a apprendre ce dialecte..)! les images traitees sont tops et j'avoue que la coupe supra-sternale est plus parlante apres avoir vu la construction en TDM..
Comment dit-on "merci" en DICOM?