Major swing
Le terme de « swinging heart » me faisait marrer quand j’étais externe.
Ça m’évoquait le swinging London, les mods, et plus particulièrement l’affiche de « Quadrophénia » des Who, placardée dans la chambre de ma soeur.
Pourtant, quand il s’agit de gérer un vrai « swinging heart » en pratique, on a tout de suite moins envie de chanter « Tommy » le pinball wizard… (Ce doit être une question de « my generation »…)
Untitled from fish Nip echocardiographie on Vimeo.
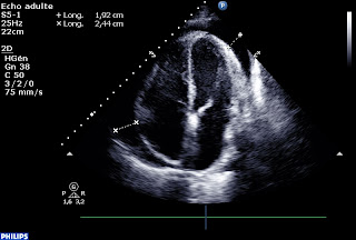
Même si il est difficile de sortir un échographiste de son rôle de contemplateur, c’est possible. Après avoir injecté quelques bulles pour s’assurer d’être dans le péricarde, on passe un guide métallique (pas trop loin le guide, Nico, stp…)
Et on draine. En fin de procédure, on laisse le drain en place pour le liquide restant.
Ou comment passer d’un major swing à un minor swing (avec Bireli Lagrène):
MinorSwing
envoyé par caravane. – Regardez d’autres vidéos de musique.


Salut PG, pour moi, le "swing" me rappelle de ca:
C'est bien moi qui suis cité dans ce merveilleux blog??
@CS : Comment n'y ais-je pas pensé??? Tu as raison, je connais cette chanson par cœur depuis 31 ans (d'abord en yaourt, puis en anglais), et je ne comprend toujours pas comment Knopfler peut jouer des solo aussi propres avec ces gros doigts boudinés, sans le moindre médiator (pas le médicament hein, le truc en plastic pour jouer de la guitare, je ne fais pas de politique…).
Vous corrigerez de vs même la demi douzaine de faute d'orthographe que je viens de laisser passer…