Le doute…
Parfois, j’ai peur de me planter, j’ai le bras qui tremble, la main qui transpire, j’hésite à raccrocher la sonde et à dire « tout va bien Madame » -« c’est vrai? » – « un cœur de jeune fille! »…
Je me dis, si cette femme diabétique qui a une échographie cardiaque normale, a en fait une HTA masquée, compliquée de l’absence de remodelage concentrique (ce qui est particulièrement grave!), et peut-être même une ischémie silencieuse avec une insomnie qui dissimule une apnée du sommeil??? Et si la protéinurie était indosable parce-qu’elle la dilue dans des litres de thé vert?
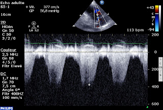
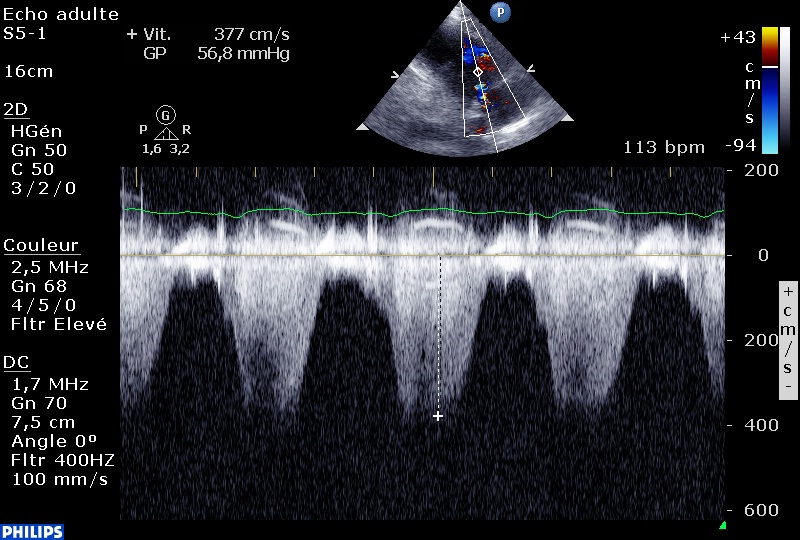
Heureusement, parfois l’echo, c’est simple. Un Infarctus semi récent compliqué d’un GROS œdème pulmonaire, un souffle en rayon de roue, et une rupture septale:
Une Vmax de le CIV à 3,6 m/sec, soit un gradient VG-VD à 55mmHg, donc une PAPs à 75 mmHg, si la pression artérielle systolique (qui est égale à la PVGs en l’absence de RAC) est à 130 mmHg.
Sur l’IT, la PAPs est calculée à 70 mmHg
Un bloc, un patch, du fil, une aiguille, et le tour est joué. C’est toujours une patiente sauvée de l’HTA masquée…


