Quand t’es dans le desert…
Je sais que vous aimez les jeux, et, fort du nombre invraisemblable de réponses obtenues lors de mon dernier cas clinique, je m’entête. (Avec toutefois une chanson qui tourne en boucle dans ma tête depuis quelques semaines)
Jean-Patrick Capdevielle – Quand t’es dans le désert
envoyé par siciline. – Regardez la dernière sélection musicale.
Bon, j’ai dit que je m’entêtais… Cette fois, c’est une échographie trans-œsophagienne demandée pour suspicion d’endocardite, (hémocultures positives), chez une patiente admise en réanimation pour détresse respiratoire dans un contexte de néo évolutif.
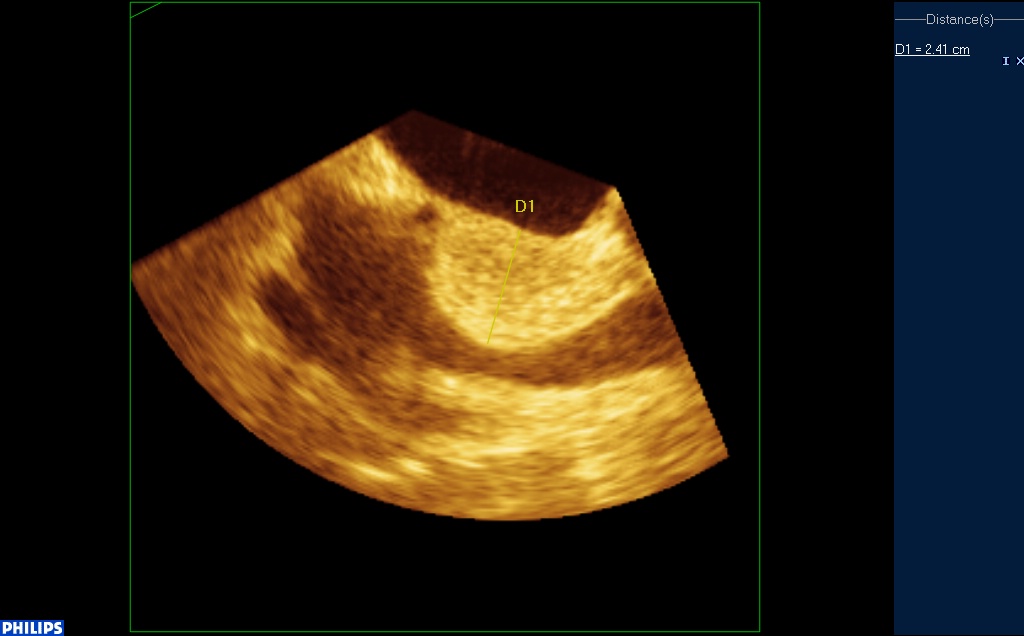
En ETT, on note sur la paroi laterale de l’OD une masse peu mobile et hyperéchogène:
Untitled from fish Nip echocardiographie on Vimeo.
Cette masse envahie tous le septum inter auriculaire, et ne prend pas le contraste après injection de micro-bulles:
En ETO, le septum inter auriculaire est pris en masse et mesure jusqu’à 3 cm. Cette infiltration est hyperechogène, régulière, et respecte la fosse ovale.
Coupe à 120° : VCS à droite de l’écran, fosse ovale au milieu :
La masse refoule la veine pulmonaire supérieure droite (en rouge en haut à droite) et la veine cave supérieure en bas à droite, mais sans envahissement :
Untitled from fish Nip echocardiographie on Vimeo.
J’attends vos suggestions!
PS pour Marion et Philippe, pour laisser un commentaire il faut cliquer sur « enregistrer un commentaire » 😉



Une méta intracardiaque?
Merci pour ton commentaire Fred, c'est bien-sûr une des options, mais ce n'est pas la seule…
Pourquoi pas une lipomatose du septum interauriculaire (LHAS)? ;ca épargne la fosse ovale comme dans notre cas.C'est plus fréquente chez les obèses ou après une corticotherapie.Je je te conseil une petite lecture pour appuyer mon cas.CS. :http://www.ajronline.org/cgi/reprint/168/4/1081.pdf