Mais qu’est ce que c’est?
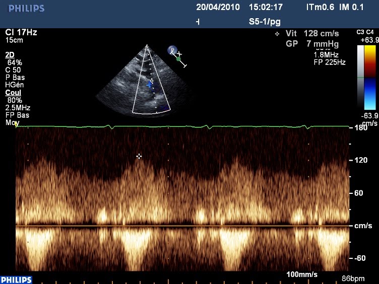
3 mois après une embolie pulmonaire massive dans un contexte de néo évolutif, ce patient est ré hospitalisé en oncologie pour un état d’anasarque, sans argument franc pour une insuffisance cardiaque. L’écho est d’ailleurs normale, sauf ce petit flux bizarre, enregistré juste avant de partir, en sus sternal, sous la crosse de l’aorte, entre l’aorte et l’AP.
Untitled from fish Nip on Vimeo.
Voilà ce que ça donne en Doppler continu:
Des idées???
A suivre.
(PS pour Marion : pas le droit de répondre, c’est trop facile!)
