Re : Constriction ou restriction?
Je pense qu’il s’agir d’une cardiopathie restrictive (CMR). Mais, comme le souligne Fred, il y a des arguments dans les deux camps. Quand on entre « constricitve pericarditis AND restrictive cardiomyopathy » on trouve 217 articles, dont 63 revues de litterature… La discussion est donc loin d’être close, ce d’autant que les deux peuvent co-exister, comme dans les 4 cas décrits dans cet article:
Reduced Right Ventricular Systolic Function in Constrictive Pericarditis Indicates Myocardial Involvement and Persistent Right Ventricular Dysfunction and Symptoms After Pericardiectomy (Mohamed Homsi, MD, Jothiharan Mahenthiran, MD, Dev Vaz, MD, and Stephen G. Sawada, MD, Indianapolis, Indiana, JASE 2007)
Pour la péricardite constrictive :
– Il y a bien un épanchement péricardique chronique, qui pré-existait, circonférentiel et non negligeable
– Le flux mitral est bien restrictif, (mais ne varie pas avec la respiration)
– L’HTAP peut-être pré-existante, sur la bronchopathie chronique,
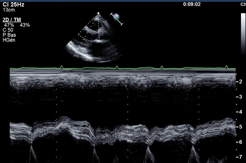
– L’interaction VD-VG est nette, avec un VD qui « pousse » le VG en inspiration,, mais sans encoche meso-diastolique permanente comme dans les péricardites chroniques constrictives (PCC) « pures » :
Sur cet exemple d’un patient présentant une PCC post tuberculeuse, l’aspect vibratile du septum en mode TM est très assez caractéristique :
Pour la cardiomyopathie restrictive :
– Tous les arguments concordent pour indiquer que les pressions de remplissage gauches sont élevées,
– Les cavités sont dilatées,
– Les variations respiratoires des flux droits sont expliqués par la dysfonction VD profonde, (elle même cause ou conséquence du flutter?). Les variations respiratoires de la PCC portent essentiellement les flux mitraux et aortiques.
– le Fux Doppler pulsé dans les veines sus-hépatiques suggère une POD élevée et une IT importante, sans aspect en W de la PCC.
Flux Doppler dans les VSH avec une aspect en W chez ce patient avec la PCC tuberculeuse:
Enfin l’évolution : le scanner du péricarde retrouve un épanchement liquidien, sans calcifications ni épaississement des feuillets. Après mise sous dobutamine et diurétiques, l’état du patient va lentement s’améliorer avec une normalisation du bilan rénal et hépatique, ainsi que de la taille des cavités droites. La fuite tricuspide, grade 2/4 après déplétion, autorise le calcul de la PAPs qui est à 28 mmHg le jour de la sortie. Reste l’épanchement péricardique, dont le volume varie avec la volémie, et que l’on peut peut-être rapprocher de l’insuffisance cardiaque droite?
La distinction des deux états est donc difficile mais importante, car la mortalité des CMR en chirurgie, même dans les formes mixtes avec PCC, est rédhibitoire.


Jai les idées plutôt simples (simplistes ?) concernant les différences entre CM restrictive et pericardite constrictive (PCC): dans la CM il y a toujours une altération profonde de la fonction systolique (FE, VES, dP/dT, S DTI, les indices ne manquent pas), il y a toujours une HTAP, l'onde Ea est souvent toute petite, le profil mitral varie souvent en fonction de la volémie.
Concernant le cas clinique de Mr B, mon grand problème fut non pas tant entre PCC et CM, mais plutôt comment le traiter : remplissage dobu, diuretiques, ultra filtration, ..C'est la question difficile du patient congestif qui malgré de grosses doses de diurétiques casse sa diurèse, monte sa créat.. Cette oligurie pré rénale peut se voir dans les sténoses serrées bilatérales des rénales, et surtout dans les hypovolémies relatives, quand le débit est par trop réduit, faut il alors les remplir pour re donner de la précharge suffisante, même si elle st déjà très haute … En fait a posteriori, je crois qu_e ce patient a fait lors de la CEE sous AG, un très profond collapsus avec foie de choc et rein de choc, et la nécrose tubulaire a évolué pour son propre compte en 15j comme il est habituel: et ce que nous avions interprété comme une insuffisance en partie fonctionnelle, fut en fait une authentique insuffissance rénale organnique par NTIA..